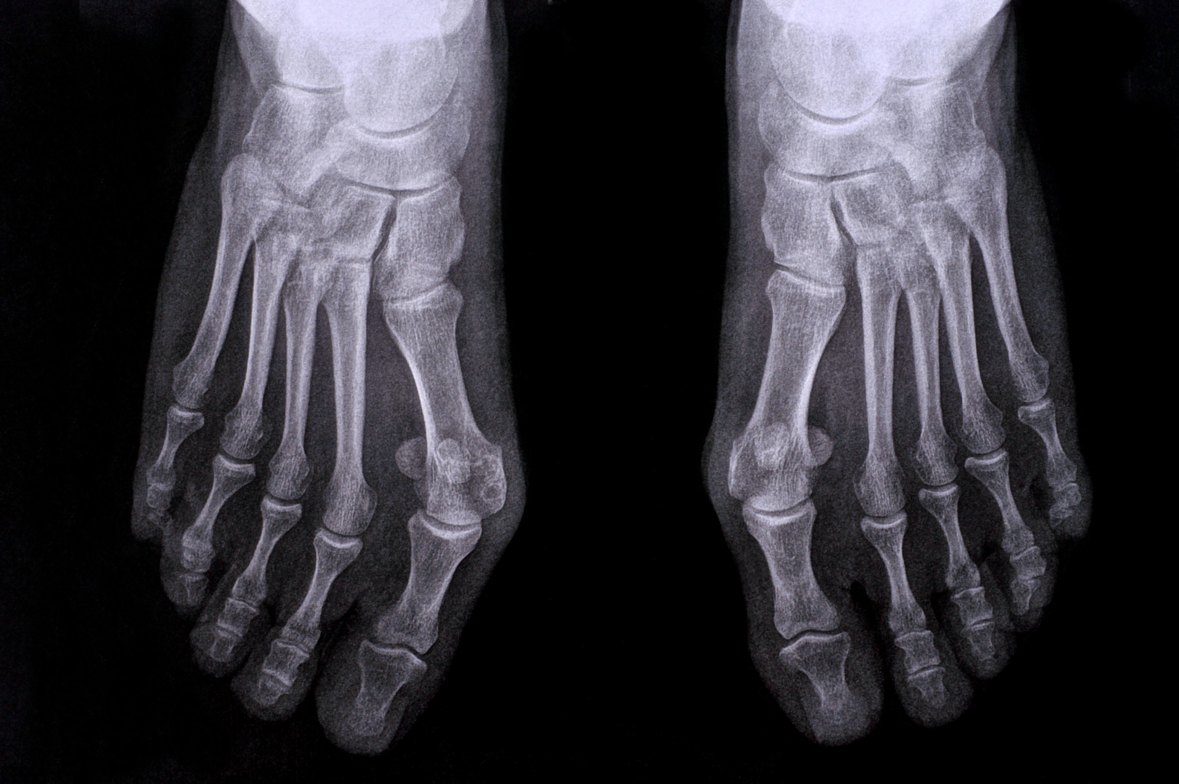
Ever wondered what that bony lump on the side of your foot is? Chances are it's a Bunion. Bunions are relatively harmless and thankfully do not usually require any medical intervention. However, when left to their own devices, they can cause heaps of pain and discomfort, drastically impacting your quality of life.
If you’re suffering from a Bunion or simply want to ensure you do not develop one, we’re going to take you through the causes, effects and treatments.
















